I recently became aware of Cameron Kyle-Sidell, an emergency physician and intensivist in NYC because of his videos describing his experience with COVID-19 patients. Sidell has argued that COVID-19 appears less like traditional ARDS (acute respiratory distress syndrome) and features more in common with high altitude illness. He argues that hypoxic patients with COVID-19 are often in less distress than would be expected for a low oxygen saturation, reminding him of high altitude mountaineers who are able to speak and function with oxygen saturations in the high 70s and low 80s. This led Sidell to hypothesize that COVID -19 has some similarities with high-altitude pulmonary edema (HAPE).

Katie Swank, Diane Rimple at 18,000 feet on Cotopaxi Ecuador
Lets review the concept of HAPE:
Because of the importance of maintaining sufficient oxygen delivery to tissues, our physiology comes with a variety of evolved responses that permit us to cope with various insults and infections that might interfere with oxygen uptake.
In the event of a lung injury or infection, the alveolus – the functional unit of the lung responsible for gas exchange – loses its ability to oxygenate pulmonary blood. In response to poor oxygen uptake at the alveolar level, arterial blood flow is shunted preferentially to healthier parts of the lung. This compensatory response permits increased oxygen uptake even when parts of the lung are compromised. This kind of compensation is often called a homeostatic mechanism, one that has evolved to maintain a normal, or near normal, internal state.

The mechanism behind this preferential shunting of blood away from diseased alveoli is hypoxic pulmonary vasoconstriction. Pulmonary arteries adjacent to hypoxic alveoli undergo muscular contraction that reduces pulmonary arteriolar blood flow. This phenomenon was cited as a critical physiologic compensation to regional lung hypoxia that prevents ventilatory failure in a review by Naeije and Brimioulle in the journal Critical Care.
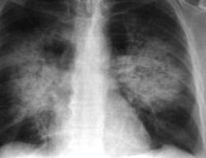
At high altitude, this adaptive mechanism seems to go wrong. Virtually all the alveoli sense decreased availability of oxygen after an acute exposure to high altitude because air drawn into the lungs at that altitude has a lower partial pressure of oxygen. This triggers global pulmonary arterial vasoconstriction that increases the blood pressure in the pulmonary arteries. Increased pressure, along with inflammatory changes that accompany hypoxia, causes a characteristic pattern of high altitude related pulmonary edema, most notably centered around the right pulmonary artery.

There is a lesson here – what is often adaptive at sea level may become maladaptive at high altitude. Another key take home point is that we cannot fully understand what is pathological in high altitude pulmonary edema (HAPE) without understanding what is normal and physiological at low altitude. Adaptation explains maladaptation in this instance.
Next, we will consider what has been termed MR HAPE, HAPE that occurs among mountain residents.
Hypoxic vasoconstriction evolved at low altitude, as a way to compensate for regional pulmonary hypoxia, e.g. during bacterial infection. We might imagine this compensatory mechanism might also occur among those with lung infection at high altitude. In other words, if hypoxic pulmonary vasoconstriction is an adaptation to infection or other lung injury that is pathological at high altitude, it would follow that infection would predispose to HAPE. A recent paper described this exactly. Ebert-Santos described a phenomenon termed as MRHAPE , or mountain resident high altitude pulmonary edema. In MR HAPE, acclimatized mountain residents show signs of HAPE on chest radiographs when they get sick with a respiratory virus. These high altitude residents otherwise show no pulmonary symptoms while living at high altitude. This is exactly what we see in this article. Since I live at 6000 feet elevation in Albuquerque New Mexico, and care for individuals living at even higher elevations, I suspect that I have had many patients who fall into this category that have not been recognized as MR HAPE.
So what do we make of reports of COVID-19 resembling HAPE? The phenomenon of MR HAPE illustrates that infection and high altitude hypoxia, (especially in combination) can result in a very similar clinical picture.
The take home lesson here is that infection and high altitude pulmonary edema have similar physiology for a reason. The underlying mechanisms responsible for HAPE did not evolve at high altitude. Instead, our vulnerability to HAPE results from mechanisms evolved to protect us from pneumonia. Those mechanisms are driven in large part by a regulatory transcription factor known as HIF -1α, as we will describe below.
HIF-1α seems to be important during infection. There are some remarkable similarities between the clinical presentation of acute mountain sickness (AMS) and patients with critical illness. This similarity is not accidental. It’s because of shared mechanisms underlying systemic inflammation in sepsis and altitude illnesses. Altitude illness may occur because hypoxia activates inflammatory pathways, mediated by the toll-like receptor TLR4 and HIF-1. Activation of TLR4 and HIF-1 are important also in sepsis. While those pathways appear maladaptive in altitude illness, they are reported to promote survival during infections, and HIF-1 signaling in particular appears to provide protection to the host during critical illness.

Peyssonnaux and colleagues showed that HIF-1α activation regulates the bactericidal capacity of phagocytes. Microbial cues, such as exposure to Group A Streptococcus also induced HIF-1α, even in the absence of hypoxia. HIF-1α was also upregulated in wild type macrophages at normal levels of oxygen when challenged with both Gram-positive bacteria – Staph and Group A Strep – and Gram-negative bacteria – Pseudomonas and Salmonella. Gene knockout mice with myeloid cells lacking HIF-1α were unable to mount a successful immune defense against Group A Strep infection, likely because HIF-1α was necessary for the production of bactericidal proteases and antimicrobial peptides. Mice with myeloid cells lacking HIF-1α “failed to restrict systemic spread of infection from an initial tissue focus.” In other words they were at risk for bacteremia and sepsis. These results have been replicated by other groups for instance here and here, showing that HIF-1α function is a key component of anti-pathogen host defense, one that is important in bacterial infection and in sepsis.
HIF signaling also appears to strengthen the intestinal epithelial barrier, perhaps preventing gut microbes from leaving the intestine. Improved survival during sepsis and critical illness because of HIF-1 activity would provide strong selective pressure for the persistence of oxygen-dependent and inflammatory pathways. This perspective suggests that the shared inflammatory pathways in infections and altitude illness are important to host defense. Activation of the same pathways at altitude may have different results. At extreme altitude, HIF-1 and TLR4 activation can drive inflammation that is counterproductive, even lethal.
How about in COVID-19? Is it possible that the capillary leak syndrome and pulmonary edema, similar to that observed in HAPE, is also counterproductive and lethal?
Probably, at least for the most severe cases. Recall that hypoxic pulmonary vasoconstriction evolved to protect us when part of the lung is diseased and other parts of the lung remain healthy, e.g in garden variety bacterial pneumonia. In the severe pulmonary syndrome driven by COVID-19, when no part of the lung is spared, that compensation can become pathologic, as it does at extreme altitude. Increased pulmonary arterial pressures, in combination with inflammation driven by HIF-1, cause capillary leak and edema, resulting in a vicious cycle of worsening hypoxia and respiratory failure.
Implications for oxygen therapy: In HAPE, and in MR HAPE, the primary insult is hypoxia at the alveolar level. These patients get better with descent to lower altitudes, which has the effect of increasing the partial pressure of oxygen delivered to the alveoli. Supplemental oxygen accomplishes the same thing.

Patients with COVID-19 also need oxygen. To the extent that COVID-19 disease is driven by a harmful systemic response to hypoxia, some of that can be reversed with supplemental oxygen. Several recent reports suggest that patients can respond well to supplemental oxygen, e.g. via optiflow, or with non-invasive ventilatory support, as opposed to endotracheal intubation and mechanical ventilation. For COVID-19 patients, and humans in general, oxygen is not just a finding, and it is not just a treatment. Oxygen is also a master regulator of physiology that operates by way of HIF 1α.
As with inflammation, and with blood clotting – pulmonary physiology regulation by HIF 1α must be understood in the context of evolution. Low oxygen is a signal that alerts the immune system to danger and triggers a variety of physiologic changes aimed at increasing oxygen availability. Physicians can harness these evolved systems with judicious use of oxygen. We may also be able to reverse the pulmonary vasocontriction and pulmonary edema in COVID-19 patients that is thought to resemble HAPE. We can accomplish this by early identification of hypoxia. Richard Levitan recently made this point in the New York Times, suggesting that patients use a home portable pulse oximeter. According to Levitan, when the oximeter detects low oxygen saturation in patients who otherwise feel well, they should seek care (and oxygen therapy) well before they completely decompensate and need ICU admission.
Take home points:
We did not evolve to deal with high altitude*, we evolved to cope with trauma, and especially infection. (* most of us anyway; Tibetans, Andean, and Ethiopian highlanders are a different story).
To understand why things go wrong with oxygen, we must understand why they go right. The regulation of hypoxic responses by HIF-1 is a highly conserved evolved response.
The same mechanisms that make us sick at high altitude probably help us survive most pneumonia.
Since HAPE and pneumonia both involve HIF-1 activation and have shared mechanisms, we should not be surprised that severe lung infections and HAPE also share some characteristics.
For the same reason, we also should not be surprised that infection in mountain residents can provoke a HAPE-like picture.
During COVID-19, instead of reaching for medications that we sometimes use in HAPE, like calcium channel blockers to treat pulmonary arterial vasoconstriction, we should instead attack the root cause, which is hypoxia, and treat that aggressively, as Dr. Levitan suggests.
Categories: Uncategorized
Joe Alcock
Emergency Physician, Educator, Researcher, interested in the microbiome, evolution, and medicine
A second, and I think more important, benefit of localized hypoxic pulmonary vasoconstriction during infections (other than simply to send blood where it will be better oxygenated) is to increase the stress experienced by the pathogens there. Reducing blood to the infected area reduces nutrients, including oxygen, coming in and helps maintain the nutrient-deprivation and toxic waste products (reactive oxygen species, lactic acid, heat). In a sufficiently hypoxic site, the pathogens can’t use amino acids, lactic acid, and lipids as fuel. The reduced flow at the infected parts of the lungs reduces the spread of the pathogens AND helps contain the stressful conditions with the pathogens. Any microthrombosis in capillaries at the site will enhance the benefits of low blood flow to the pathogens.
Excellent point, Ed. I don’t think that sufficient attention is paid to the role of the lung in pathogen trapping, or the stressful microenvironment in those hypoxic sites that is hostile to the persistence of pathogens